Czym jest oponiak?
Oponiaki to najczęstsze pierwotne guzy wewnątrzczaszkowe (czyli powstające w obrębie czaszki, a nie będące przerzutami) nowotwory ośrodkowego układu nerwowego u dorosłych. Stanowią ponad 30% wszystkich guzów wewnątrzczaszkowych.
Rozwijają się z komórek pajęczynówki (jednej z cienkich warstw otaczających mózg), które przylegają do opony twardej. Z tego powodu w badaniach obrazowych guz zwykle wygląda, jakby „wyrastał” z opony. W większości przypadków rośnie powoli i przez długi czas może nie dawać żadnych objawów.
Najważniejsze czynniki ryzyka to:
- wiek (szczyt zachorowań około 65. roku życia),
- płeć żeńska (kobiety chorują 2–3 razy częściej niż mężczyźni),
- ekspozycja na promieniowanie jonizujące – np. liczne badania TK głowy w przeszłości,
- predyspozycje genetyczne (np. neurofibromatoza typu 2).
Objawy zależą przede wszystkim od lokalizacji guza i wynikają z ucisku na struktury mózgu, a nie z jego „złośliwości” samej w sobie [1–3].
Klasyfikacja oponiaków według WHO
Zgodnie z klasyfikacją Światowej Organizacji Zdrowia (WHO) wyróżnia się trzy stopnie złośliwości. Ustalenia stopnia złośliwości dokonuje patomorfolog po dokładnym zbadaniu tkanki pod mikroskopem. Nie ma więc możliwości, by ustalić jednoznacznie stopnień złośliwości bez pobrania tkanki na badanie histopatologiczne. Nie jest to jednak bezwzględnie konieczne, ponieważ część oponiaków można bezpiecznie obserwować w badaniach obrazowych (o czym więcej poniżej).
WHO I – oponiaki łagodne
- 80–90% wszystkich przypadków – zdecydowanie najczęstsze,
- wolny wzrost,
- brak naciekania mózgu,
- rzadkie nawroty
- bardzo dobre rokowanie.
WHO II – oponiaki atypowe
- 5–7% przypadków,
- szybszy wzrost,
- możliwe naciekanie mózgu,
- ryzyko nawrotu do 30–40% w ciągu 5 lat
- po operacji mogą wymagać naświetlania.
WHO III – oponiaki anaplastyczne (złośliwe)
- 1–3% przypadków,
- bardzo szybki wzrost,
- częste nawroty,
- niekorzystne rokowanie.
[1,4–6]
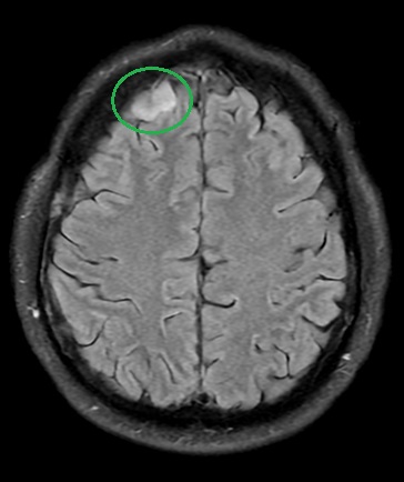
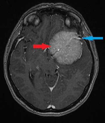
Jak rozpoznać oponiaka w rezonansie magnetycznym?
Podstawowym badaniem jest rezonans magnetyczny (MRI) głowy z kontrastem.
Typowe cechy oponiaka w MRI to:
- guz przylegający do opony twardej,
- silne i zwykle jednorodne wzmocnienie kontrastowe,
- często obecny tzw. „ogon oponowy” („dural tail”), czyli wzmocnienie opony w sąsiedztwie guza.
Co opisuje radiolog?
W opisie badania często pojawiają się:
- „Silne wzmocnienie kontrastowe” – typowe dla oponiaków.
- „Dural tail” – charakterystyczny, choć nie zawsze obecny.
- „Obrzęk mózgu wokół guza” – może odpowiadać za objawy, takie jak bóle głowy czy napady padaczkowe.
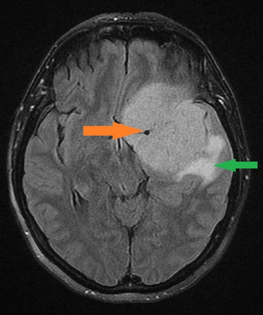
Cechy, które mogą budzić większą czujność
Zgodnie z wytycznymi European Association of Neuro-Oncology (EANO), pewne cechy w MRI mogą sugerować bardziej agresywne zachowanie guza:
- rozległy obrzęk mózgu,
- niejednorodne („plamiste”) wzmocnienie po kontraście.
Nie oznacza to automatycznie nowotworu złośliwego, ale zwykle wymaga dokładniejszej oceny i ostrożniejszego planowania leczenia.
Czy każdy oponiak wymaga leczenia?
Nie. U pacjentów bezobjawowych, u których oponiak został wykryty przypadkowo i pozostaje stabilny, możliwa jest obserwacja zamiast leczenia operacyjnego.
Zgodnie z wytycznymi EANO, leczenie jest wskazane, gdy:
- guz powoduje objawy kliniczne lub
- w kontrolnych badaniach obrazowych stwierdza się jego wzrost.
Na czym polega obserwacja („czekaj & obserwuj”)?
Celem obserwacji jest bezpieczne monitorowanie guza i wdrożenie leczenia dopiero wtedy, gdy stanie się to konieczne.
Wizyta początkowa
- omówienie badania MRI,
- ocena objawów,
- badanie neurologiczne.
Kontrole obrazowe (wg EANO)
W przypadku podejrzewanego oponiaka WHO I:
- MRI po 6 miesiącach,
- następnie co 12 miesięcy przez 5 lat,
- potem co 2 lata (z możliwością indywidualnego dostosowania).
Co ocenia się podczas kontroli?
- czy guz rośnie,
- czy pojawiły się nowe objawy (np. bóle głowy, napady, zaburzenia mowy, widzenia, pamięci).
Kiedy zgłosić się wcześniej?
Należy pilnie skontaktować się z lekarzem, jeśli pojawią się:
- nowe lub narastające objawy neurologiczne,
- napad padaczkowy,
- wyraźne pogorszenie funkcji poznawczych.


Kiedy oponiaka należy operować?
Leczenie operacyjne rozważa się, gdy spełniony jest przynajmniej jeden z poniższych warunków:
Guz powoduje objawy:
- napady padaczkowe,
- bóle głowy – jednoznacznie związane z guzem,
- niedowłady lub drętwienia,
- zaburzenia mowy, widzenia lub równowagi,
- pogorszenie funkcji poznawczych.
Guz powiększa się w kolejnych badaniach MRI
Pogarsza się sprawność poznawcza
Jeśli nie ma innej uchwytnej przyczyny, a zmiany można powiązać z obecnością guza.


Metody leczenia
Jeśli zachodzi konieczność leczenia, należy dobrać odpowiednią metodę. Według wytycznych EANO leczenie operacyjne jest leczeniem z wyboru – w przypadku guzów o sprzyjającej lokalizacji u pacjenta, który nie jest bardzo obciążony chorobami towarzyszącymi. Operacyjne usunięcie oponiaka to złoty standard postępowania. W przypadku chorych bardzo obciążonych, u których długa operacja mogłaby okazać się niebezpieczna lub w guzach trudno dostępnych operacyjnie – można rozważyć inne metody leczenia, np. radiochirurgię stereotaktyczną (SRS – Gamma Knife, CyberKnife, Zap-X) jako główną metodę. Oponiaki to przeważnie guzy łagodne – chemioterapia bardzo rzadko znajduje tu zastosowanie.
Chirurgia
Podstawowa metoda leczenia.
W przypadku oponiaków WHO I całkowite usunięcie guza często prowadzi do wyleczenia.
Radioterapia
Stosowana:
- po niecałkowitej resekcji,
- w oponiakach WHO II i III,
- u pacjentów niekwalifikujących się do operacji.
Radiochirurgia stereotaktyczna
(Gamma Knife, CyberKnife, Zap-X)
- stosowana zwykle w małych guzach (do ok. 3 cm),
- u pacjentów w podeszłym wieku lub poważnymi chorobami towarzyszącymi,
- w lokalizacjach o wysokim ryzyku chirurgicznym.
[4]
Kontrola po leczeniu
- WHO I – MRI raz w roku przez 5 lat, następnie co 2 lata
- WHO II – MRI co 6 miesięcy przez 5 lat, następnie co rok
- WHO III – MRI co 3–6 miesięcy przez całe życie
Rokowanie
Rokowanie uzależnione jest od stopnia złośliwości:
- WHO I – >80% przeżyć 10-letnich
- WHO II – >60%, częste nawroty
- WHO III – ok. 15%, bardzo wysokie ryzyko nawrotu
[1,6]
Oponiak – szybkie pytania i odpowiedzi (FAQ)
Czym jest oponiak?
Oponiak to najczęstszy guz mózgu u dorosłych. Najczęściej jest łagodny i rośnie powoli. Powstaje z komórek pajęczynówki, czyli jednej z błon otaczających mózg.
Czy oponiak to rak?
Zwykle nie. Około 80–90% oponiaków to guzy łagodne (WHO I). Rzadziej występują postacie bardziej agresywne.
Czy oponiak zawsze daje objawy?
Nie. Wiele oponiaków wykrywa się przypadkowo i przez długi czas nie powodują żadnych dolegliwości.
Jakie objawy mogą się pojawić?
Zależnie od lokalizacji guza mogą to być:
- bóle głowy,
- napady padaczkowe,
- osłabienie lub drętwienie kończyn,
- zaburzenia mowy, widzenia lub pamięci.
Jak rozpoznaje się oponiaka?
Podstawowym badaniem jest rezonans magnetyczny (MRI) z kontrastem. Oponiak zwykle silnie się wzmacnia i przylega do opony twardej.
Czy każdy oponiak wymaga operacji?
Nie. Jeśli guz nie daje objawów i nie rośnie, często wystarczy obserwacja. Takie postępowanie jest zgodne z wytycznymi European Association of Neuro-Oncology (EANO).
Na czym polega obserwacja?
Na regularnych kontrolach MRI (najczęściej co 6–12 miesięcy) oraz ocenie samopoczucia pacjenta.
Kiedy konieczna jest operacja?
Gdy:
- pojawiają się objawy neurologiczne,
- guz rośnie,
- pogarsza się funkcjonowanie pacjenta.
Jakie są metody leczenia?
- Operacja – podstawowa metoda leczenia.
- Radioterapia – gdy nie da się usunąć guza całkowicie lub przy wyższych stopniach WHO.
- Radiochirurgia (np. Gamma Knife) – przy małych guzach lub przeciwwskazaniach do operacji.
Jakie jest rokowanie?
- WHO I – bardzo dobre (ponad 80% 10-letnich przeżyć),
- WHO II – umiarkowane, możliwe nawroty,
- WHO III – poważne, wymaga intensywnego leczenia.
Czy można normalnie żyć z oponiakiem?
Tak. Wielu pacjentów prowadzi normalne życie, zwłaszcza gdy guz jest stabilny lub skutecznie leczony.
Bibliografia
- Louis DN, Perry A, Wesseling P, et al. The 2021 WHO Classification of Tumors of the Central Nervous System: a summary. Neuro Oncol. 2021;23(8):1231–1251.
- Ostrom QT, Cioffi G, Gittleman H, et al. CBTRUS Statistical Report: Primary Brain and Other Central Nervous System Tumors Diagnosed in the United States. Neuro Oncol. 2022;24(Suppl 5):v1–v95.
- Whittle IR, Smith C, Navoo P, Collie D. Meningiomas. Lancet. 2004;363(9420):1535–1543.
- Goldbrunner R, Stavrinou P, Jenkinson MD, et al. EANO guideline on the diagnosis and management of meningiomas. Lancet Oncol. 2021;22(11):e281–e292.
- Sahm F, Schrimpf D, Stichel D, et al. DNA methylation-based classification and grading system for meningioma. Acta Neuropathol. 2017;133(3):469–481.
- Rogers L, Barani I, Chamberlain M, et al. Meningiomas: knowledge base, treatment outcomes, and uncertainties. J Neurosurg. 2015;122(1):4–23.




