Czym jest guz wewnątrzczaszkowy?
Guz wewnątrzczaszkowy to każda patologiczna masa znajdująca się w obrębie czaszki, obejmująca zarówno mózg, jak i inne struktury śródczaszkowe (opony mózgu, kości czaszki).
Czy każdy „guz” to nowotwór?
Ważne jest, aby zrozumieć, że nie każdy guz wewnątrzczaszkowy jest nowotworem.
Część z nich to zmiany nienowotworowe, które mogą naśladować obraz guza w badaniach obrazowych.[1–2]
Przykłady guzów nienowotworowych
Do najczęstszych zmian nienowotworowych, które mogą przypominać guzy nowotworowe, należą:
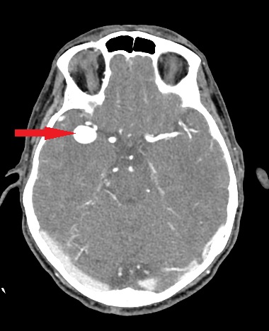
- Torbiele (np. torbiel epidermalna, torbiel pajęczynówki)
- Zmiany naczyniowe (np. naczyniaki jamiste, tętniaki)
- Zmiany zapalne (np. stwardnienie rozsiane, ostre rozsiane zapalenie mózgu i rdzenia)
- Zmiany infekcyjne (np. ropnie, gruźlica, zakażenia grzybicze, pasożytnicze)[1–4]




Jak często występują guzy wewnątrzczaszkowe?
Częstość występowania wszystkich pierwotnych guzów mózgu i innych struktur ośrodkowego układu nerwowego wynosi około 26 przypadków na 100 000 osób rocznie w Stanach Zjednoczonych.[5]
Jednak to guzy wtórne (przerzutowe) są najczęstszymi guzami wewnątrzczaszkowymi u dorosłych – ich liczba znacznie przewyższa liczbę guzów pierwotnych.[6–8]
Szacuje się, że około 8–10% pacjentów z nowotworami złośliwymi rozwinie przerzuty do mózgu, co odpowiada około 200 000 nowych przypadków rocznie w USA.[6]
Brak jest takich danych dla populacji polskiej.
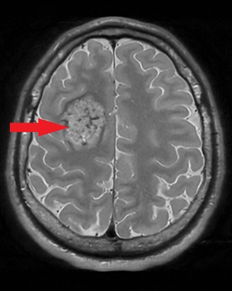
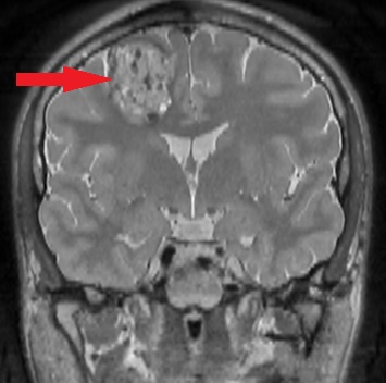
Guzy pierwotne vs. guzy wtórne
Guzy pierwotne
Guzy pierwotne powstają bezpośrednio w mózgu lub oponach mózgowych.
Najczęstsze guzy pierwotne to:
- Oponiak (meningioma) – 42,6% wszystkich guzów pierwotnych
- Glioblastoma (glejak wielopostaciowy – stara nazwa) – 13,7% wszystkich guzów pierwotnych i najczęstszy złośliwy guz mózgu
- Gruczolaki przysadki (pituitary adenomas)[5][9]


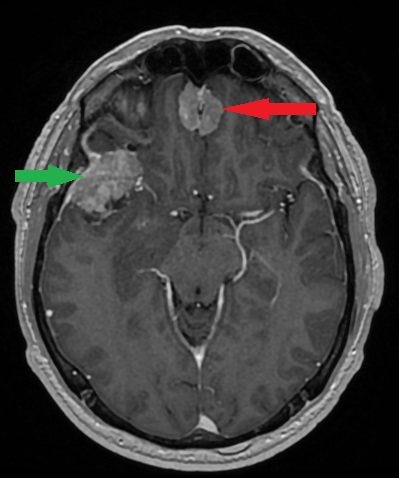
Guzy wtórne (przerzuty)
Guzy wtórne (przerzuty) to nowotwory, które rozprzestrzeniły się do mózgu z innych narządów.
Najczęstsze źródła przerzutów to:
- Rak płuca – 43–78,5% wszystkich przerzutów do mózgu
- Rak piersi – 19,9% przerzutów
- Czerniak – 8,2% przerzutów
- Rak nerki – 5,0% przerzutów
- Rak jelita grubego – 3,8% przerzutów[6–7][10–11]
Klasyfikacja WHO guzów pierwotnych
Światowa Organizacja Zdrowia (WHO) klasyfikuje guzy pierwotne ośrodkowego układu nerwowego według stopnia złośliwości (grading), który pomaga w rokowaniu i doborze leczenia.
Wyższy stopień = zwykle bardziej agresywny przebieg i gorsze rokowanie.
W ostatnich latach klasyfikacja WHO dla nowotworów OUN mocno uwzględnia diagnozę molekularną (mutacje i profile genetyczne).
Stopień 1 (WHO 1) – guzy łagodne, wolno rosnące
- Gwiaździak pilocytyczny (pilocytic astrocytoma)
- Schwannoma (nerwiak osłonkowy)[12–13]
- Większość oponiaków (meningioma)
Stopień 2 (WHO 2) – guzy o niskim stopniu złośliwości
- Niektóre oponiaki
- Gwiaździak z mutacją IDH (astrocytoma IDH-mutant)
- Oligodendroglioma (skąpodrzewiak) z mutacją IDH i kodelecją 1p/19q – to warunek niezbędny do rozpoznania skąpodrzewiaka[12–13]
Stopień 3 (WHO 3) – guzy o pośrednim stopniu złośliwości
- Anaplastyczny oligodendroglioma (skąpodrzewiak)
- Anaplastyczny oponiak (anaplastic meningioma) – rzadki oponiak[12][14]
Stopień 4 (WHO 4) – guzy o najwyższym stopniu złośliwości
- Glejak wielopostaciowy IDH-wildtype (glioblastoma)
- Anaplastyczny gwiaździak z delecją CDKN2A/B[12–13][15]
Ta klasyfikacja opiera się na cechach histopatologicznych i molekularnych, co pozwala na precyzyjniejsze rokowanie i dobór leczenia.[12][16]
Podsumowanie
Guzy wewnątrzczaszkowe stanowią zróżnicowaną grupę zmian, z których nie wszystkie są nowotworami.
U dorosłych guzy przerzutowe (wtórne) występują częściej niż guzy pierwotne.
Wśród guzów pierwotnych najczęstszy jest oponiak (łagodny), a wśród złośliwych – glejak wielopostaciowy.
Nowoczesna klasyfikacja WHO uwzględnia nie tylko cechy mikroskopowe, ale także molekularne, co umożliwia lepsze planowanie leczenia i określenie rokowania.
Krótkie podsumowanie
- „Guz wewnątrzczaszkowy” to każdy miejscowy twór w mózgu lub oponach — nie zawsze nowotwór.
- Najczęściej rozpoznawane guzy pierwotne to meningioma (często łagodny) oraz guzy glejowe — glioblastoma to najczęstszy nowotwór pierwotny o złym rokowaniu.
- Przerzuty do mózgu (wtórne) są klinicznie istotne i u dorosłych występują często; zależą od rodzaju raka pierwotnego.
Skontakuj się z nami
W Oddziale Neurochirurgii Copernicus PL zajmujemy się leczeniem wszelkiego typu guzów wewnątrzczaszkowych – skontaktuj się z nami jeśli potrzebujesz pomocy.
Jeśli potrzebujesz rzetelnej wiedzy na temat diagnostyki, obserwacji i leczenia oponiaków – kliknij TUTAJ.
Bibliografia
- Yogendran LV, Kalelioglu T, Donahue JH, et al. The landscape of brain tumor mimics in neuro-oncology practice. J Neurooncol. 2022.
- Cunliffe CH, Fischer I, Monoky D, et al. Intracranial lesions mimicking neoplasms. Arch Pathol Lab Med. 2009.
- Omuro AM, Leite CC, Mokhtari K, Delattre JY. Pitfalls in the diagnosis of brain tumours. Lancet Neurol. 2006.
- Santosh V, Mahadevan A, Chickabasaviah YT, Bharath RD, Krishna SS. Infectious lesions mimicking central nervous system neoplasms. Semin Diagn Pathol. 2010.
- Price M, Ballard CAP, Benedetti JR, et al. CBTRUS statistical report: primary brain and other central nervous system tumors diagnosed in the United States in 2018–2022. Neuro Oncol. 2025.
- Vogelbaum MA, Brown PD, Messersmith H, et al. Treatment for brain metastases: ASCO-SNO-ASTRO guideline. J Clin Oncol. 2022.
- Achrol AS, Rennert RC, Anders C, et al. Brain metastases. Nat Rev Dis Primers. 2019.
- Lamba N, Wen PY, Aizer AA. Epidemiology of brain metastases and leptomeningeal disease. Neuro Oncol. 2021.
- Price M, Ballard C, Benedetti J, et al. CBTRUS statistical report: primary brain and other central nervous system tumors diagnosed in the United States in 2017–2021. Neuro Oncol. 2024.
- Bhambhvani HP, Granucci M, Rodrigues A, Kakusa BW, Hayden Gephart M. The primary sites leading to brain metastases: shifting trends at a tertiary care center. J Clin Neurosci. 2020.
- Fadel S, Ellaithy A. Brain metastasis: incidence, trend analysis, and impact on survival using SEER database (2010–2020). J Clin Oncol. 2025.
- Jamshidi P, Brat DJ. The 2021 WHO classification of central nervous system tumors: what neurologists need to know. Curr Opin Neurol. 2022.
- Johnson DR, Giannini C, Vaubel RA, et al. A radiologist’s guide to the 2021 WHO central nervous system tumor classification: part I—key concepts and the spectrum of diffuse gliomas. Radiology. 2022.
- Soni N, Ora M, Bathla G, et al. Meningioma: molecular updates from the 2021 World Health Organization classification of CNS tumors and imaging correlates. AJNR Am J Neuroradiol. 2025.
- van den Bent MJ, Geurts M, French PJ, et al. Primary brain tumours in adults. Lancet. 2023.
- Gritsch S, Batchelor TT, Gonzalez Castro LN. Diagnostic, therapeutic, and prognostic implications of the 2021 World Health Organization classification of tumors of the central nervous system. Cancer. 2022.




